Aparatele ortodontice fixe, disjunctoare cu ancoraj dentar, mixt dento-scheletal și scheletal

Disjunctorul sau expansorul este un dispozitiv conceput pentru a folosi tratamentelor ortodontice, care au scopul de a alinia dinţii pe arcadă într-o poziţie fiziologică şi de a stabili o relaţie de ocluzie corectă între cele două arcade maxilare.
Acesta este un aparat metalic sau acrilic care se fixează de premolarii şi molarii superiori cu ajutorul unor inele metalice cimentate pe dinţi. Rolul disjunctorului este acela de a dilata maxilarul. Partea sa activă este șurubul central (poziţionat în centrul gurii) care va fi activat de către medic şi apoi de către pacient sau părinţi o dată sau de două ori pe zi timp de câteva săptămâni, în funcţie de planul de tratament conceput de către medicul ortodont.
Care sunt indicaţiile utilizării disjunctorului maxilar?

• Maxilarul superior îngust în comparaţie cu maxilarul inferior, compresia de maxilar.
• Incongruența dento-alveolară pe maxilarul superior: dinţi mari şi spaţiu insuficient pentru alinierea lor fiziologică, ceea ce determină înghesuri.
• Probleme de ocluzie, ocluzie încrucişată.
• Probleme respiratorii.

Cum acţionează disjunctorul maxilar?
Mecanismul de acţiune al disjunctorului constă în îndepărtarea, puţin câte puţin, a celor 2 jumătăţi ale bolții palatine, în spaţiul format având loc depunerea osoasă. Pe măsură ce şurubul este învârtit, el va acţiona pe dinţii laterali superiori şi aceştia vor transmite forţa celor două oase maxilare, realizându-se astfel dilatarea. Apariţia unei diasteme (strungăreaţă) între incisivii centrali superiori este un semn al eficienţei dilatării. Pot apărea modificări fizionomice semnificative, mai uşor de observat la persoanele slabe. Când medicul ortodont consideră spaţiul format suficient pentru alinierea dinţilor el va înceta activarea şurubului.
De acum aparatul va mai fi menţinut câteva luni (4-6 luni), timp necesar depunerii de os nou prin procesul de osteogeneză în spaţiul creat. După îndepărtarea disjunctorului, majoritatea pacienţilor au nevoie de tratament ortodontic cu aparat dentar fix pentru obţinerea ocluziei şi aspectului estetic dorit.

Care este vârsta ideală pentru acest tratament ortodontic?
Pentru ca dilatarea maxilarului să poată fi realizată cu uşurinţă trebuie ca sutura medio-palatină să nu se fi osificat în totalitate. Iată de ce dilatatorul este indicat a se folosi înainte de încetarea creşterii, adică înainte de aproximativ 13 ani la fete şi 15 ani la băieţi. Expansiunea maxilarului se obţine mai uşor şi cu rezultate durabile dacă aparatul este utilizat în copilărie. Dacă pacientul a depăşit această vârsta, dar are nevoie de un astfel de tratament ortodontic, el va fi supus înainte unei intervenţii chirurgicale pentru a elibera sutura medio-palatină în câteva puncte. Aprecierea stadiului de osificare al pacientului este, aşadar, de o importanță incontestabilă pentru începerea tratamentului.

Cât de incomod este şi ce neplăceri poate cauza pe durata purtării?
Ca orice alt lucru care nu aparţine corpului nostru şi pe care începem să îl purtăm şi disjunctorul maxilar poate cauza în primele zile după aplicare o serie de evenimente neplăcute precum:
• Stare de disconfort care variază de la un individ la altul şi care dispare după câteva zile de purtare.
• Dureri la nivelul dinţilor pe care sunt ataşate inelele metalice, care pot fi însoţite de cefalee şi care se accentuează la învârtirea şurubului central. Se pot administra diverse antialgice pentru a face durerea suportabilă.
• Dificultăţi în masticaţie şi vorbire, care pot fi stânjenitoare, dar care nu trebuie să descurajeze pacientul.
• Hipersalivatie şi uneori chiar leziuni ale limbii din cauza barelor metalice din care este confecţionat dispozitivul.
• Senzaţie de tensiune la nivelul dinţilor şi maxilarelor ori de câte ori se activează şurubul pentru stimularea dilatării.

Pe durata purtării dispozitivului un alt aspect foarte important de care trebuie să ţinem seama este igiena orală. După fiecare masă trebuie să curăţăm resturile alimentare care au pătruns între aparat şi cerul gurii, altfel ne vom confrunta cu iritaţii ale mucosei şi mirosuri neplăcute. Trebuie să realizăm un periaj minuţios al inelelor metalice şi suprafeţelor unde aparatul intra în contact cu gingia, pentru a preveni acumularea plăcii bacterine şi apariţia gingivitei, infecţiilor. Va trebui să limităm consumul alimentelor lipicioase ( bomboane, caramele, guma de mestecat) care se desprind cu greu de aparat şi a celor dure (unele fructe crude, migdale, alune) care îl pot deteriora.
Pe perioada activării este important să respectaţi controalele medicale săptămânale, şi pentru orice problemă pe care o întâmpinaţi (desprinderea aparatului, dureri insuportabile care nu cedează la antialgice) să vă adresaţi medicului ortodont, singurul care cunoaşte cazul dumneavoastră, deci în măsură să vă ajute şi să vă sfătuiască.


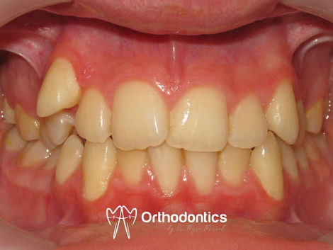
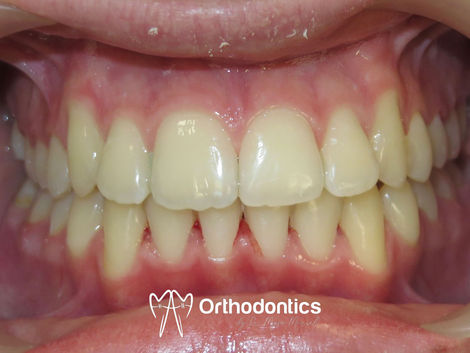
Caz I Disjunctor - Înainte / După
Distalizatoare cu ancoraj dentar și mixt dento-scheletal
Distalizatoarele sunt folosite pentru a muta dinții posteriori (molarilor) înapoi în arcadă. Varianta cu ancoraj dentar se atașează de dinți, în timp ce varianta mixt dento-scheletal utilizează și mini-implanturi pentru suport suplimentar
Sistem brackets standard (metalici sau estetici)
Bracket-urile standard sunt elementele mici care se lipesc pe fața exterioară a dinților și sunt unite printr-un arc special. Acestea pot fi metalice sau estetice (fabricate din materiale transparente sau care imită culoarea dinților).
Avantajele aparatelor autoligaturante Damon:
-
Tratament rapid: sistemul Damon poate reduce durata tratamentului ortodontic cu până la 6 luni față de aparatele tradiționale, asigurând o aliniere continuă a dinților pentru un zâmbet mai atractiv.
-
Confort sporit: aparatele Damon oferă un tratament ortodontic mai confortabil prin eliminarea modulelor elastice sau metalice care pot cauza disconfort.
-
Vizite reduse la clinică: necesită mai puține vizite la cabinet, în comparație cu aparatele tradiționale, controlul fiind necesar o dată la 2-3 luni.
-
Ușor de curățat: lipsa elasticelor și modulelor facilitează o curățare mai eficientă, reducând placa bacteriană și promovând igiena orală.

În contrast, arcurile standard pot să nu optimizeze complet avantajele tehnologiei Damon, ceea ce poate afecta rezultatele tratamentului ortodontic. Respectarea protocolului specificat de inventatorul sistemului este importantă pentru a asigura că fiecare componentă a aparatului funcționează în armonie, contribuind astfel la obținerea unui zâmbet sănătos și frumos într-un timp mai scurt și cu mai puține disconforturi pentru pacient.
Caz I Aparat fix metalic - Înainte / După
Caz II Aparat fix estetic - Înainte / După
Caz II Disjunctor Hibrid - Înainte / După
Sistem brackets autoligaturanti pasivi tip Damon (metalici sau estetici)
Bracket-urile autoligaturante pasive, cum ar fi cele de tip Damon, sunt concepute pentru a reduce fricțiunea între bracket și arc, facilitând mișcarea dinților. Sunt disponibile în variante metalice sau estetice, acestea din urmă fiind mai puțin vizibile.
Sistemul Damon a adus o revoluție în ortodonție prin eliminarea completă a modulelor elastice aplicate pe bracketi. Aparatele autoligaturante utilizează o clapetă în loc de aceste module, care se deschide și închide pentru a permite schimbarea arcurilor pe parcursul tratamentului ortodontic. Această metodă promovează o mișcare mai eficientă a dinților și reduce necesitatea ajustărilor frecvente, oferind astfel pacienților o experiență ortodontică mai confortabilă și mai rapidă.
Arcurile folosite în sistemul Damon sunt fundamentale pentru funcționarea eficientă a aparatului ortodontic, diferențiindu-se semnificativ de arcurile standard utilizate în aparatele metalice obișnuite. Pentru a obține rezultate optime, este crucial să respectăm protocolul stabilit de inventatorul sistemului Damon în practica ortodontică.
Aparatul Damon își maximizează efectele benefice atunci când sunt folosite arcurile specifice (combinație de Cupru + Nikel + Titanium ceea ce ii ofera o elasticitate mare), adaptate pentru a interacționa perfect cu mecanismele autoligaturante ale bracketilor. Aceste arcuri sunt proiectate pentru a exercita presiuni controlate și constante asupra dinților, promovând astfel o mișcare mai eficientă și mai rapidă în alinierea acestora.
























































